2020年1月9日,由Broncus和吃瓜网站-成人吃瓜黑料网站 共同举办的中印BTPNA介入诊疗学术交流会暨亚太BTPNA技术培训基地挂牌仪式圆满落幕顺利召开,并宣布由中国科学院大学深圳与Broncus携手共建的“亚太BTPNA技术培训基地”正式成立。
会议伊始,吃瓜网站-成人吃瓜黑料网站 吴本清副院长和呼吸与重症医学科主任龙发先生分别发表讲话,随后Broncus总经理湛国威先生致辞,共同宣布亚太BTPNA技术培训基地挂牌仪式正式开始。
由吃瓜网站-成人吃瓜黑料网站 (光明)吴本清副院长、呼吸与危重症学科龙发主任携手Broncus湛国威总经理、李振华总经理共同为“Broncus亚太BTPNA技术培训基地”揭牌。
揭牌仪式后,在龙发主任开展手术演示。手术前,龙发主任与多位印度专家针对手术病例进行了谈论,制定了手术路径,其中包括一台气道内活检病例(Lungpoint),以及两台无明显气道相通病例(BTPNA)。隧道路径分别为36mm及34mm。均成功建立隧道,X光及超声小探头确认抵达病灶,耗时分别为20分钟、15分钟。
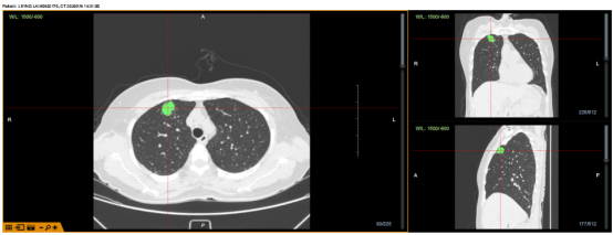
病例1:病灶位于右上叶前段,病灶大小约2cm,POE点位于RB3亚亚段,隧道长度36mm,使用FlexNeedle针穿刺,球囊扩张,再送入鞘管,于X光及超声下确认抵达病灶约耗时20份。
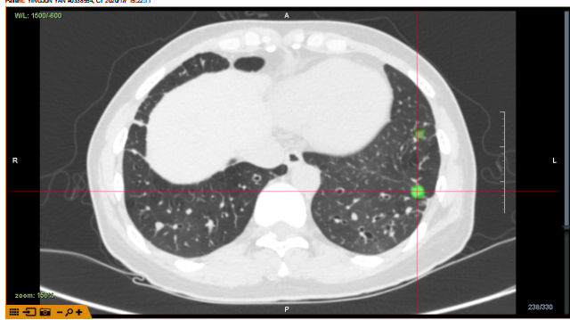
病例2:病灶位于LB9,大小约9mm,隧道路径约34mm,POE 点位于RB9亚亚段。
手术演示结束后,龙发主任与各位印度专家就目前呼吸介入诊疗技术分享各自的心得,龙发主任详细介绍了目前科室开展的多项国内外领先内镜介入技术:包括支气管热成形术(BT)治疗重度难治性哮喘、Lungpro多模态全肺导航支气管镜下经肺实质肺外周结节取样术(BTPNA)及肺癌消融术、CT引导下经皮肺活检术及肺癌消融术、支气管镜单向活瓣肺减容术治疗重度肺气肿和难治性气胸、光动力治疗肺癌、超声支气管镜引导肺活检及纵膈淋巴结针吸活检术(EBUS-TBNA)等。龙发主任陈诉目前已经为355例肺外周结节成功进行Lungpro引导下经支气管镜活检术,其中包括气道内活检例数333例,气道外活检(BTPNA下)例数22例。目前统计气道内活检阳性率为80.1%,气道外活检(BTPNA下)阳性率为86.3%,并提到未来可通过BTPNA技术为平台治疗更多肺部疾病,为呼吸介入治疗领域源源不断提供更多安全有效的治疗手段。印度专家也介绍了印度呼吸疾病诊疗新进展,现场学术氛围浓郁。
最后,在手把手演示环节,印度专家在Broncus临床应用同事指导下体验操作LungPoint增强现实导航,充分了解导航技术,迅速掌握导航操作技巧。
至此,中印BTPNA介入诊疗学术交流会暨亚太BTPNA技术培训基地挂牌仪式在浓厚的学习氛围中圆满落幕。

亚太BTPNA技术培训基地

吴本清副院长

龙发主任

揭牌仪式合影

专家合影

揭牌仪式现场

病例1

X光与超声确认抵达病灶

病例2

X光与超声确认抵达病灶

手术现场

学术沙龙

手把手演示环节
